切换至 "中华医学电子期刊资源库"

中华脑科疾病与康复杂志(电子版) ›› 2026, Vol. 16 ›› Issue (01) : 58 -60. doi: 10.3877/cma.j.issn.2095-123X.2026.01.009

病例报告

临床表现为舌痛的复杂脑神经痛一例报道:诊断性阻滞与序贯治疗策略
韩笑笑, 孙晓迪, 周晓凯, 潘寅兵()   
  1. 210029 南京,南京医科大学第一附属医院麻醉与围术期医学科
  • 收稿日期:2025-04-18 出版日期:2026-02-15
  • 通信作者: 潘寅兵

A case of complex cranial neuralgia presenting with glossalgia: diagnostic block and sequential treatment strategy

Xiaoxiao Han, Xiaodi Sun, Xiaokai Zhou   

  • Received:2025-04-18 Published:2026-02-15
引用本文:

韩笑笑, 孙晓迪, 周晓凯, 潘寅兵. 临床表现为舌痛的复杂脑神经痛一例报道:诊断性阻滞与序贯治疗策略[J/OL]. 中华脑科疾病与康复杂志(电子版), 2026, 16(01): 58-60.

Xiaoxiao Han, Xiaodi Sun, Xiaokai Zhou. A case of complex cranial neuralgia presenting with glossalgia: diagnostic block and sequential treatment strategy[J/OL]. Chinese Journal of Brain Diseases and Rehabilitation(Electronic Edition), 2026, 16(01): 58-60.

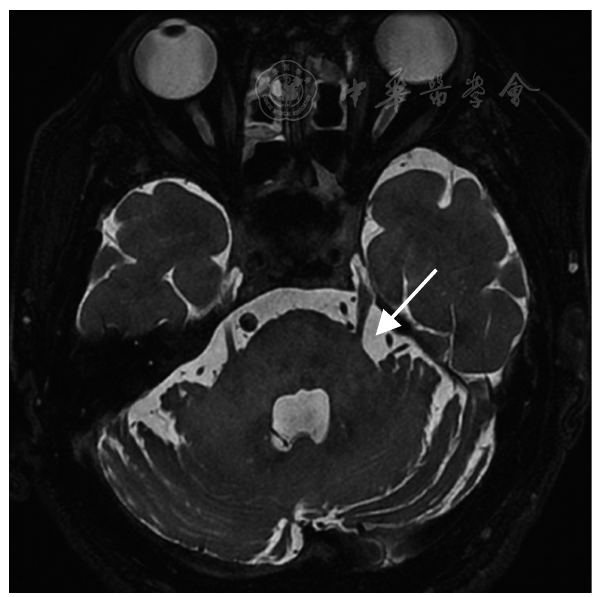
图1 GPN合并TN患者的三叉神经MRI影像资料未见三叉神经有血管压迫征象(箭头所示);GPN:舌咽神经痛;TN:三叉神经痛
Fig.1 MRI data of the trigeminal nerve in patients with GPN combined with TN
图2 超声引导下颌神经DNB示意图1为冠突,2为髁突,3为上颌骨,4为翼外肌,5为蝶骨翼突外侧板;DNB:诊断性神经阻滞
Fig.2 Ultrasound-guided mandibular nerve DNB schematic diagram
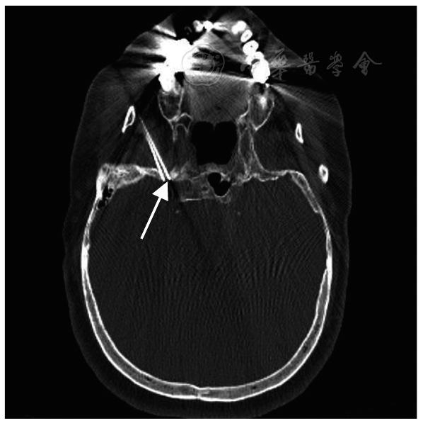
图3 CT引导下经皮下颌神经射频热凝术,双针同时进入卵圆孔内(箭头所示)
Fig.3 CT-guided percutaneous mandibular nerve radiofrequency thermocoagulation with dual needles simultaneously inserted into the foramen ovale (as indicated by the arrow)
[1]
Bendtsen L, Zakrzewska JM, Heinskou TB, et al. Advances in diagnosis, classification, pathophysiology, and management of trigeminal neuralgia[J]. Lancet Neurol, 2020, 19(9): 784-796. DOI: 10.1016/s1474-4422(20)30233-7.
[2]
De Toledo IP, Conti Réus J, Fernandes M, et al. Prevalence of trigeminal neuralgia: a systematic review[J]. J Am Dent Assoc, 2016, 147(7): 570-576.e2. DOI: 10.1016/j.adaj.2016.02.014.
[3]
Tepper SJ. Cranial neuralgias[J]. Continuum (Minneap Minn), 2018, 24(4, Headache): 1157-1178. DOI: 10.1212/con.0000000000000637.
[4]
Warren HG, Kotsenas AL, Czervionke LF. Trigeminal and concurrent glossopharyngeal neuralgia secondary to lateral medullary infarction[J]. AJNR Am J Neuroradiol, 2006, 27(3): 705-707.
[5]
Xia L, Li YS, Liu MX, et al. Microvascular decompression for glossopharyngeal neuralgia: a retrospective analysis of 228 cases[J]. Acta Neurochir (Wien), 2018, 160(1): 117-123. DOI: 10.1007/s00701-017-3347-1.
[6]
Liang C, Yang L, Zhang B, et al. 3D multimodal image fusion based on mri in the preoperative evaluation of microvascular decompression: a meta-analysis[J]. Exp Ther Med, 2023, 25(4): 171. DOI: 10.3892/etm.2023.11870.
[7]
Lee A, McCartney S, Burbidge C, et al. Trigeminal neuralgia occurs and recurs in the absence of neurovascular compression[J]. J Neurosurg, 2014, 120(5): 1048-1054. DOI: 10.3171/2014.1.Jns131410.
[8]
Bogduk N. Diagnostic nerve blocks in chronic pain[J]. Best Pract Res Clin Anaesthesiol, 2002, 16(4): 565-578. DOI: 10.1053/bean.2002.0252.
[9]
Curatolo M, Bogduk N. Diagnostic blocks for chronic pain[J]. Scand J Pain, 2010, 1(4): 186-192. DOI: 10.1016/j.sjpain.2010.07.001.
[10]
You S, Qin X, Tong L, et al. Long-term follow-up of ultrasound-guided glossopharyngeal nerve block treatment for glossopharyngeal neuralgia: a retrospective clinical study of 43 cases[J]. J Pain Res, 2024, 17: 913-921. DOI: 10.2147/jpr.S437609.
[11]
胡力,魏士龙,刚振博,等.全内镜下三叉神经微血管减压术治疗三叉神经痛[J].中华脑科疾病与康复杂志(电子版), 2024, 14(3): 190-192. DOI: 10.3877/cma.j.issn.2095-123X.2024.03.012.
[12]
Flores-Pina B, Paré-Curell M, Menéndez-Osorio B, et al. Concomitant, asynchronous and refractory trigeminal and glossopharyngeal neuralgia. Good response to surgical approach in one time[J]. Rev Neurol, 2023, 77(9): 223-225. DOI: 10.33588/rn.7709.2023182.
[13]
Keric N, Kalasauskas D, Kreth SL, et al. An age-dependent outcome analysis of microvascular decompression and percutaneous thermocoagulation in trigeminal neuralgia[J]. BMC Neurol, 2021, 21(1): 182. DOI: 10.1186/s12883-021-02197-6.
[14]
Wang X, Meng D, Wang L, et al. The clinical characteristics and surgical treatment of glossopharyngeal neuralgia with pain radiating to the innervated area of the trigeminal nerve[J]. J Oral Maxillofac Surg, 2021, 79(4): 786.e1-786.e8. DOI: 10.1016/j.joms.2020.11.034.
[15]
李岩峰.多支颅神经病变的手术策略[J].中华脑科疾病与康复杂志(电子版), 2019, 9(1): 58-59. DOI: 10.3877/cma.j.issn.2095-123X.2019.01.014.
[16]
Wolcott Z, Goldstein ED. A man with tongue pain: a case study[J]. Headache, 2021, 61(8): 1295-1298. DOI: 10.1111/head.14183.
[17]
Sweet WH, Wepsic JG. Controlled thermocoagulation of trigeminal ganglion and rootlets for differential destruction of pain fibers. 1. Trigeminal neuralgia[J]. J Neurosurg, 1974, 40(2): 143-156. DOI: 10.3171/jns.1974.40.2.0143.
[18]
Song L, He L, Pei Q, et al. CT-guided percutaneous radiofrequency thermocoagulation for glossopharyngeal neuralgia: a retrospective clinical study of 117 cases[J]. Clin Neurol Neurosurg, 2019, 178: 42-45. DOI: 10.1016/j.clineuro.2019.01.013.
[19]
黄冰,吴丹,杜鑫丹,等. CT引导下茎突后双针双极射频热凝术治疗舌咽神经痛的疗效观察[J].中华疼痛学杂志, 2021, 17(2): 178-185. DOI: 10.3760/cma.j.cn101658-20200226-00027.
[1] 甄雪克. 显微血管减压术治疗脑神经疾病[J/OL]. 中华神经创伤外科电子杂志, 2025, 11(04): 270-272.
[2] 侯亚红, 高若妍, 孙洪涛. 快速康复外科理念在显微血管减压术治疗三叉神经痛中的应用效果[J/OL]. 中华神经创伤外科电子杂志, 2025, 11(02): 117-122.
[3] 郭永坤, 单峤, 付旭东, 李培栋, 谢井伟, 周少龙, 刘婉清, 刘春颖. 显微血管减压术治疗原发性舌咽神经痛[J/OL]. 中华神经创伤外科电子杂志, 2022, 08(05): 318-319.
[4] 胡力, 魏士龙, 刚振博, 谢春成. 全内镜下三叉神经微血管减压术治疗三叉神经痛[J/OL]. 中华脑科疾病与康复杂志(电子版), 2024, 14(03): 190-192.
[5] 樊晓彤, 闫峰, 王亚明. 立体定向机器人辅助经皮穿刺半月神经节球囊扩张压迫术[J/OL]. 中华脑科疾病与康复杂志(电子版), 2023, 13(03): 191-192.
[6] 中国医师协会功能神经外科专家委员会, 世界华人神经外科协会功能神经外科专家委员会, 中国研究型医院学会神经外科学专业委员会, 中华医学会神经外科分会功能神经外科学组. 经皮球囊压迫术治疗三叉神经痛中国专家共识[J/OL]. 中华脑科疾病与康复杂志(电子版), 2022, 12(05): 260-268.
[7] 李岩峰, 马逸. 经皮穿刺球囊压迫术治疗三叉神经痛在中国的现状与展望[J/OL]. 中华脑科疾病与康复杂志(电子版), 2022, 12(04): 193-195.
[8] 种玉龙, 徐武, 王晶, 姜成荣, 梁维邦. 头颅CTA检查在微血管减压术前安全性评估中的临床意义[J/OL]. 中华脑科疾病与康复杂志(电子版), 2021, 11(05): 282-284.
[9] 姜成荣, 徐武, 种玉龙, 王晶, 周璐, 梁维邦. 三叉神经痛显微血管减压术中岩静脉的分型及处理策略[J/OL]. 中华脑科疾病与康复杂志(电子版), 2021, 11(04): 200-203.
[10] 徐武, 姜成荣, 梁维邦. 卵圆孔形态和外口面积对半月神经节球囊压迫术的影响[J/OL]. 中华脑科疾病与康复杂志(电子版), 2021, 11(04): 196-199.
[11] 黄华, 石鑫, 姜磊, 冯兆海, 王西宪, 郝玉军. C-臂引导下球囊压迫术治疗三叉神经痛对患者焦虑抑郁的影响[J/OL]. 中华脑科疾病与康复杂志(电子版), 2021, 11(02): 79-82.
[12] 阿布地热合曼·吐尔孙尼牙孜, 石鑫, 郝玉军, 姜磊, 买买提江·卡斯木, 冯兆海, 裴祎楠. 显微血管减压术治疗舌咽神经痛疗效分析[J/OL]. 中华脑科疾病与康复杂志(电子版), 2021, 11(02): 74-78.
[13] 蒋亦林, 伍刚, 刘波, 沈洁, 刘如恩. 继发性三叉神经痛诊疗策略[J/OL]. 中华临床医师杂志(电子版), 2022, 16(07): 643-646.
[14] 王宇博, 杨铭. 芒针治疗三叉神经痛验案[J/OL]. 中华针灸电子杂志, 2021, 10(03): 106-107.
[15] 史鹏飞, 王常伟, 郭亚洲, 刘霄, 李锴, 刘禹, 何兵, 赵余涛, 刘德中. 经皮穿刺球囊压迫与显微血管减压术治疗老年人三叉神经痛的疗效及安全性[J/OL]. 中华脑血管病杂志(电子版), 2022, 16(04): 258-262.
阅读次数
全文


摘要


AI


AI小编
你好!我是《中华医学电子期刊资源库》AI小编,有什么可以帮您的吗?